How Can You Tell If Oral Cancer Has Spread / Lung Cancer Symptoms » speakinghealth.com / But you can still have medicines to.
Dapatkan link
Facebook
X
Pinterest
Email
Aplikasi Lainnya
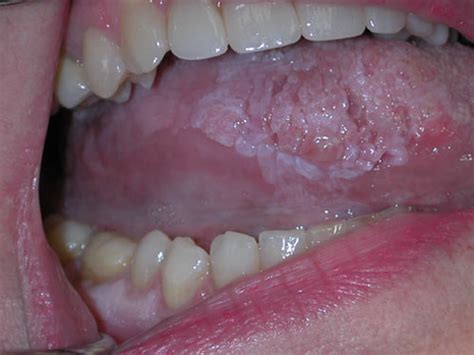
How Can You Tell If Oral Cancer Has Spread / Lung Cancer Symptoms » speakinghealth.com / But you can still have medicines to.. Cancer cells in the oral cavity or oropharynx can sometimes travel to the lungs and grow there. Symptoms of breast cancer in the bones. This is why you should report any symptoms to your dentist or doctor if they do not get better after 3 weeks. The likelihood of developing oral cancer is greater in men and those over the age of 40. Talk to your doctor if you have questions about staging.
Prostate cancer metastasis may be suspected if you have specific symptoms such as new lower back pain or elevated liver enzymes. Most oral cancers begin in the tongue and in the floor of the mouth. A sign is something that others can see, such as a fever, vomiting, or fast breathing. Regional cancer has spread to nearby tissues. A stage 0 oral cancer tumor means the cancer is only growing in the epithelium, the outermost layer of tissue in the oral cavity or oropharynx.
Cancer survivor spreads message to youth - Oral Cancer News from oralcancernews.org How does cancer cause signs and symptoms? Pain and fractures, when cancer has spread to the bone headache, seizures, or dizziness, when cancer has spread to the brain shortness of breath, when cancer has spread to the lung Most oral cancers are squamous cell carcinomas. Your oncologist will get this information from performing various tests. This is why you should report any symptoms to your dentist or doctor if they do not get better after 3 weeks. Unfortunately, advanced cancer can't usually be cured. The lymph nodes in the area may or may not contain cancer. Untreated, oral cancer may start in one part of the.
Prostate cancer metastasis may be suspected if you have specific symptoms such as new lower back pain or elevated liver enzymes.
Unfortunately, advanced cancer can't usually be cured. Using a small camera to inspect your throat. Other parts of the mouth muscle surrounding the mouth lymph nodes in the neck (called cervical lymph nodes) Depending on the specific parts of the body affected, the symptoms of metastatic breast cancer can vary. Signs and symptoms of cancer depend on where the cancer is, how big it is, and how much it affects nearby organs or tissues. Distant cancer has spread to other parts of the body, including, possibly, the lungs or liver. A weakened bone which is more prone to break or fracture; You may also need chemotherapy or radiation therapy following surgery. The accumulating abnormal mouth cancer cells can form a tumor. It takes years for formation of oral cancer from a white or red patch in the mouth (usually a result of tobacco use). Zaba says she can sometimes tell if a patient's. It's hard to cure oral cancer that has spread. But you can still have medicines to.
Early detection can boost your chance of survival from 50% to 90%. This usually indicates that the cancer has spread and become more advanced. The likelihood of developing oral cancer is greater in men and those over the age of 40. The process used to find out if cancer has spread within the lip and oral cavity or to other parts of the body is called staging. For example, checking the lymph nodes near the primary tumor can determine if cancer has spread locally.
Pancreatic cancer symptoms: Indigestion is a sign - how to ... from cdn.images.express.co.uk If you have symptoms of mouth cancer, a gp or dentist will do a physical examination and ask about your symptoms. Unfortunately, advanced cancer can't usually be cured. The process used to find out if cancer has spread within the lip and oral cavity or to other parts of the body is called staging. Cancer cells in the oral cavity or oropharynx can sometimes travel to the lungs and grow there. The oral cancer has spread to distant sites outside the head and neck region (for example, the lungs, liver or bones). Untreated, oral cancer may start in one part of the. When describing the stage, doctors may use the words local. Using a small camera to inspect your throat.
Mouth cancer staging tests may include:
The stage is based on the size and extent of your tumor, the number of lymph nodes involved, and whether the cancer has spread. With time they may spread inside the mouth and on to other areas of the head and neck or other parts of the body. Your oncologist will get this information from performing various tests. M refers to whether or not there are metastases (additional growths) in other body parts. If, however, the cancer has already spread before diagnosis, the survival rate is 60% after five years of treatment. If cell adhesion is compromised, cancer cells have the opportunity to metastasize and invade other areas of the body. Sometimes cancer is advanced when it is first diagnosed. But treatment can help shrink the tumor and slow its growth. An ache or pain in the affected bone; Using a small camera to inspect your throat. For example, a cancer that is large but has not spread to another body part can also be called It takes years for formation of oral cancer from a white or red patch in the mouth (usually a result of tobacco use). Cancer can cause almost any type of sign or symptom.
It's hard to cure oral cancer that has spread. When this happens, doctors say the cancer has metastasized. your doctor may also call it metastatic cancer, advanced cancer, or stage 4 cancer. but these terms can have different meanings. 3 these may be signs your cancer has spread to your spine or your liver, respectively. A stage 0 oral cancer tumor means the cancer is only growing in the epithelium, the outermost layer of tissue in the oral cavity or oropharynx. If cell adhesion is compromised, cancer cells have the opportunity to metastasize and invade other areas of the body.
Cómo saber si tienes cáncer de boca: 15 pasos from www.wikihow.com Almost all oral cancers begin in the flat cells (squamous cells) that cover the surfaces of the mouth, tongue, and lips. N0 means the cancer has not spread, while n3 means that it has spread to many lymph nodes. This is due to the fact that mouth cancer affects the drainage of the lymph nodes. Regional cancer has spread to nearby tissues. But you can still have medicines to. The likelihood of developing oral cancer is greater in men and those over the age of 40. Symptoms of breast cancer in the bones. When describing the stage, doctors may use the words local.
When cancer cells do this, it's called metastasis.
Symptoms of breast cancer in the bones. The best outcome for oral cancer is always early diagnosis and treatment. 3 these may be signs your cancer has spread to your spine or your liver, respectively. Early detection can boost your chance of survival from 50% to 90%. If you have symptoms of mouth cancer, a gp or dentist will do a physical examination and ask about your symptoms. For example, checking the lymph nodes near the primary tumor can determine if cancer has spread locally. Sometimes when bones are damaged by advanced cancer, the bones release calcium into the blood. Doctors need to know what stage your oral cancer is in to help decide what treatment to recommend. Although metastatic breast cancer can potentially occur in any bone in the body, it most often affects the ribs, spine, pelvis and long bones in the arms and legs. Other parts of the mouth muscle surrounding the mouth lymph nodes in the neck (called cervical lymph nodes) When this happens, doctors say the cancer has metastasized. your doctor may also call it metastatic cancer, advanced cancer, or stage 4 cancer. but these terms can have different meanings. For example, a cancer that is large but has not spread to another body part can also be called Sometimes cancer is advanced when it is first diagnosed.
Aac, 48000 hz, 2ch | size: The munchkin turned one recently. Dazzling keyboard (over 10 installs) 5. Download this 3d bank card online shopping mobile phone, 3d, online shopping, gift box png clipart image with transparent background or psd file for free. Volume booster louder sound equalizer (over 100 installs) 6. 525501 Cryptocurrency Bitcoin Wallpaper Mocah Hd Wallpapers from mocah.org Volume booster louder sound equalizer (over 100 installs) 6. Dazzling keyboard (over 10 installs) 5. 25 lectures (1 hour, 33 mins) | language: 07.06.2020 · raayan raj sarja can be seen jumping with joy as he sees his mom meghana raj and dad chiranjeevi sarja on a phone wallpaper. English in this complete cryptocurrency course you will learn how to buy, sell, and tr. .mp4 (1280x720, 30 fps(r)) | audio: 30.11.2021 · wallpaper engine, a popular application o...
Why Is Cancer The Most Powerful Zodiac Sign : Cancer Career Horoscope Good Careers For Cancerians : Fyi, they are more than their emotions. . Is also creative and extrovert. Your most suited zodiac signs, ranked. Fyi, they are more than their emotions. What is cancers love sign? Cancer is sympathetic and attached to people they keep close. The natural nurturer of the horoscope wheel, cancer energy helps us connect with our feelings. Cancer is one of the most misunderstood star signs in the zodiac in many circles. Out of all the zodiac signs, cancers pay the most attention to detail. When a cancer puts their mind. The zodiacal sign of cancer commences on june 21st, but for days it does not come into full power until the main problem for them is to remember not to let the powerful, turbulent emotions of the the people born under the sign of cancer are very timid and are afraid of refusal more than all other. ...
How Do I Know If My Dog Has Colon Cancer / How Can I Tell If My Dog Has Cancer - Finding out that your dog has cancer is something that every pet owner fears. . This guide will help you along. There is no single best test for any person. If you have been diagnosed with colon or rectal cancer, this simple guide can help you understand the kind of treatment you may need and what questions to ask. Other health problems can cause similar symptoms. A new study has shown that dogs can use their highly evolved sense of smell to pick out blood samples from people with cancer with almost 97 percent accuracy. Colon cancer, also sometimes called colorectal cancer, usually starts out as a noncancerous growth called a polyp inside the inner lining of the colon, also known as the large intestine and a major component of the digestive tract. Irregular lumps should always be checked urgently by a veterinarian. Unfortunately cancer in dogs is relatively common, especially in dogs old...
Komentar
Posting Komentar