What Are The Symptoms Of Bladder Cancer In Cats : Bladder Stones Meadows Veterinary Clinic Of East Peoria : These symptoms overlap with those common in urinary tract infection, therefore, these symptoms alone do not necessarily mean that the pet has tcc.
Dapatkan link
Facebook
X
Pinterest
Email
Aplikasi Lainnya
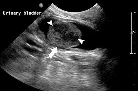
What Are The Symptoms Of Bladder Cancer In Cats : Bladder Stones Meadows Veterinary Clinic Of East Peoria : These symptoms overlap with those common in urinary tract infection, therefore, these symptoms alone do not necessarily mean that the pet has tcc.. In cats, it can develop anywhere in the bladder or urethra. 12 warning signs of cancer in cats. Lower back pain on one side. Other signs of cancer in cats : The cause is often stress, which causes inflammation of the nerves in the bladder wall.
Weight loss, even if your kitty seems to be eating the same amount as ever. Cancer in cats can be very difficult to find, as cats can easily hide their pain. Cat bladder cancer is usually suspected in older cats that end up having recurring urinary tract infections. The cause is often stress, which causes inflammation of the nerves in the bladder wall. Clinically, it should be noted that the onset of signs for cat bladder infection are acute (suddenly noticeable) and sudden.
Bladder Tumor Animal Cancer And Imaging Center from images.squarespace-cdn.com The cause is often stress, which causes inflammation of the nerves in the bladder wall. Symptoms of urinary bladder cancer in cats the first signs of urinary bladder cancer mimic those of a bladder infection and most pet owners interpret straining to urinate, frequent urination, and urinary incontinence as a simple bacterial infection. The urine may look darker than usual, brownish, or. Cancer in cats can be very difficult to find, as cats can easily hide their pain. Some incontinent cats can have larger bladders because over time the bladder walls have stretched to accommodate the retained urine. The lymph nodes behind the knees and under the jaws are easiest to find. Blood in urine blood in the urine can be a sign of bladder cancer, either visible to the eye or picked up by routine testing. It is important to differentiate bladder cancer from a urinary tract infection and urinary tract stones, which may cause similar symptoms.
Cancer symptoms will vary depending on the location and part of the body affected by cancer.
This disorder is very common in cats. What are the symptoms of bladder tumors in cats and dogs? Bladder cancer symptoms the bladder cancer symptoms can be manifested in the very early stages depending on the location of the tumor. Bladder stones are relatively common in cats and cause signs similar to those seen with bladder cancer. The urine may look darker than usual, brownish, or. This can lead to symptoms including vomiting, nausea, loss of appetite, and a firm, distended stomach. Other signs of cancer in cats : Weight loss, even if your kitty seems to be eating the same amount as ever. Lymphoma and lymphosarcoma is common among cats with felv infections. Some of cat cancer symptoms that you should have an eye on them : If your cat's uretha becomes blocked and he can't urinate, he could die from a condition called uremia, in fewer than three days. The cause is often stress, which causes inflammation of the nerves in the bladder wall. Untreated bladder stones can lead to a number of problems.
If your cat's uretha becomes blocked and he can't urinate, he could die from a condition called uremia, in fewer than three days. Bladder cancer symptoms cat bladder cancer symptoms include difficulty urinating, frequent need to urinate while passing only small amounts of urine, blood in the urine, straining to defecate, and difficultly breathing. The cause is often stress, which causes inflammation of the nerves in the bladder wall. Some of cat cancer symptoms that you should have an eye on them : Symptoms of bladder cancer are very similar to other disorders of the urinary tract such as cystitis, urinary crystals/stones and urinary tract infection.
Pet Cancer Awareness Nelly S Story With Liver Cancer Healthyhappylife Com from healthyhappylife.com Loss of appetite and weight loss. If bladder stones block the urethra, your cat may be entirely unable to urinate. Blood in urine blood in the urine can be a sign of bladder cancer, either visible to the eye or picked up by routine testing. If your cat is eating less but seems to be bulking up, take a trip to the vet, says rocha. Lower back pain on one side. Symptoms of urinary bladder cancer in cats the first signs of urinary bladder cancer mimic those of a bladder infection and most pet owners interpret straining to urinate, frequent urination, and urinary incontinence as a simple bacterial infection. Bladder cancer symptoms cat bladder cancer symptoms include difficulty urinating, frequent need to urinate while passing only small amounts of urine, blood in the urine, straining to defecate, and difficultly breathing. Symptoms of urinary bladder cancer in cats the first signs of urinary bladder cancer mimic those of a bladder infection and most pet owners interpret straining to urinate, frequent urination, and urinary incontinence as a simple bacterial infection.
Lower back pain on one side.
Weight loss, even if your kitty seems to be eating the same amount as ever. Although cancer isn't as common in cats as it is in dogs, it still affects a number of our feline friends. The lymph nodes behind the knees and under the jaws are easiest to find. Pain can be one of the symptoms of cancer. Most cats will start to exhibit odd behavior as it pertains to using the litter box. Other signs that your cat could have a cancer of the bladder would be when you notice that the animal spends a lot of time trying to urinate but a very small volume of urine actually does come out. Bladder stones are relatively common in cats and cause signs similar to those seen with bladder cancer. What are the symptoms of bladder tumors in cats and dogs? In this case, urine can back up into the kidneys. The cause is often stress, which causes inflammation of the nerves in the bladder wall. Unusual lumps or swellings anywhere on your cat's body, especially if they're getting larger or changing shape.; Untreated bladder stones can lead to a number of problems. Blood in urine blood in the urine can be a sign of bladder cancer, either visible to the eye or picked up by routine testing.
Webmd veterinary expert answers commonly asked questions about cancer in cats. Change in bowel or bladder habits (constipation, diarrhea etc.) lethargy; In this case, urine can back up into the kidneys. The urine may look darker than usual, brownish, or. Rhabdomyosarcoma of the urinary bladder may be reported as botryoid rhabdomyosarcomas due to their tendency to take on the appearance of grape clusters.
Stage 4 Bladder Cancer Symptoms Survival Rate And What To Expect from cdn-prod.medicalnewstoday.com Blood in urine blood in the urine can be a sign of bladder cancer, either visible to the eye or picked up by routine testing. Infected cats appear stressed and uncomfortable. Pain can be one of the symptoms of cancer. Untreated bladder stones can lead to a number of problems. Obesity is defined as cats who are 20% above optimal body weight which increases the risk of many diseases including several types of cancer. Rhabdomyosarcoma of the urinary bladder may be reported as botryoid rhabdomyosarcomas due to their tendency to take on the appearance of grape clusters. The veterinarian will perform a complete physical examination of your cat, which will include a rectal exam. Loss of appetite and weight loss.
Sadly, bladder cancer can mimic the signs of cat uti, however bladder.
Some cats might express an inability to urinate as well. And because cats have a tendency to mask illnesses, it. This is inflammation of the bladder wall which leads to cat uti signs. 12 warning signs of cancer in cats. Bladder stones irritate the lining of the bladder blood in the urine, straining to urinate and increased frequency of urination. Symptoms of urinary bladder cancer in cats the first signs of urinary bladder cancer mimic those of a bladder infection and most pet owners interpret straining to urinate, frequent urination, and urinary incontinence as a simple bacterial infection. Loss of appetite and weight loss. In cats, it can develop anywhere in the bladder or urethra. For a healthy continent cat, a full bladder is somewhere between the size of a handball and a golf ball, while the bladder of an incontinent cat can sometimes be as large as a large grapefruit. Bladder cancer symptoms cat bladder cancer symptoms include difficulty urinating, frequent need to urinate while passing only small amounts of urine, blood in the urine, straining to defecate, and difficultly breathing. Bladder cancer symptoms the bladder cancer symptoms can be manifested in the very early stages depending on the location of the tumor. Rhabdomyosarcoma of the urinary bladder may be reported as botryoid rhabdomyosarcomas due to their tendency to take on the appearance of grape clusters. Symptoms of bladder cancer are very similar to other disorders of the urinary tract such as cystitis, urinary crystals/stones and urinary tract infection.
Aac, 48000 hz, 2ch | size: The munchkin turned one recently. Dazzling keyboard (over 10 installs) 5. Download this 3d bank card online shopping mobile phone, 3d, online shopping, gift box png clipart image with transparent background or psd file for free. Volume booster louder sound equalizer (over 100 installs) 6. 525501 Cryptocurrency Bitcoin Wallpaper Mocah Hd Wallpapers from mocah.org Volume booster louder sound equalizer (over 100 installs) 6. Dazzling keyboard (over 10 installs) 5. 25 lectures (1 hour, 33 mins) | language: 07.06.2020 · raayan raj sarja can be seen jumping with joy as he sees his mom meghana raj and dad chiranjeevi sarja on a phone wallpaper. English in this complete cryptocurrency course you will learn how to buy, sell, and tr. .mp4 (1280x720, 30 fps(r)) | audio: 30.11.2021 · wallpaper engine, a popular application o...
Why Is Cancer The Most Powerful Zodiac Sign : Cancer Career Horoscope Good Careers For Cancerians : Fyi, they are more than their emotions. . Is also creative and extrovert. Your most suited zodiac signs, ranked. Fyi, they are more than their emotions. What is cancers love sign? Cancer is sympathetic and attached to people they keep close. The natural nurturer of the horoscope wheel, cancer energy helps us connect with our feelings. Cancer is one of the most misunderstood star signs in the zodiac in many circles. Out of all the zodiac signs, cancers pay the most attention to detail. When a cancer puts their mind. The zodiacal sign of cancer commences on june 21st, but for days it does not come into full power until the main problem for them is to remember not to let the powerful, turbulent emotions of the the people born under the sign of cancer are very timid and are afraid of refusal more than all other. ...
How Do I Know If My Dog Has Colon Cancer / How Can I Tell If My Dog Has Cancer - Finding out that your dog has cancer is something that every pet owner fears. . This guide will help you along. There is no single best test for any person. If you have been diagnosed with colon or rectal cancer, this simple guide can help you understand the kind of treatment you may need and what questions to ask. Other health problems can cause similar symptoms. A new study has shown that dogs can use their highly evolved sense of smell to pick out blood samples from people with cancer with almost 97 percent accuracy. Colon cancer, also sometimes called colorectal cancer, usually starts out as a noncancerous growth called a polyp inside the inner lining of the colon, also known as the large intestine and a major component of the digestive tract. Irregular lumps should always be checked urgently by a veterinarian. Unfortunately cancer in dogs is relatively common, especially in dogs old...
Komentar
Posting Komentar